Welcome   |   Meet The Dentist   |   Our Services   |   Smile Gallery   |   Patient Testimonials   |   Forms   |   Contact Us
  Smile Gallery
 
 
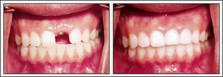
Dental Implants/Porcelain Crowns
 
 
Cosmetic Bonding/Tooth Colored Fillings
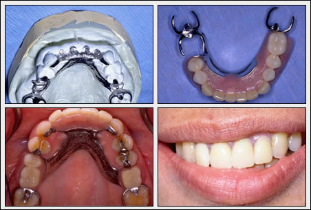
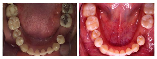
Partial Dentures
 
 
 

Our Office
450 Sutter Street
Suite 1438
San Francisco, CA 94108

P. 415-986-9868
F. 415-986-9515

 
 
Affiliations
 

Welcome | Meet The Dentist | Our Services | Smile Gallery | Patient Testimonials | Forms | Contact Us | Site Map

Copyright © Jenny Chen DDS. All Rights Reserved. Dental Website Design & SEO By MyPracticeOnline.Com

San Francisco Veneers Dentist  Cosmetic Dentist San Francisco, CA  San Francisco Dental Bonding  General Dentistry in San Francisco, CA  San Francisco Invisalign